มะเร็งช่องปาก

มะเร็งช่องปาก
มะเร็งช่องปาก (Oral Cancer) เป็นเนื้อร้ายที่เกิดและพัฒนาขึ้นในส่วนใดก็ตามที่อยู่ในช่องปาก โดยเซลล์มะเร็งอาจเกิดขึ้นได้ทั้งที่บริเวณริมฝีปาก ลิ้น เหงือก กระพุ้งแก้ม เพดานปาก หรือพื้นปาก ในกรณีที่พบได้น้อย เซลล์มะเร็งยังสามารถเกิดขึ้นได้ที่ทอนซิลด้านหลังช่องปาก ซึ่งเป็นต่อมผลิตน้ำลาย รวมถึงในบริเวณช่องคอที่เชื่อมต่อระหว่างปากกับหลอดลมหรือคอหอย
ทั้งนี้มะเร็งช่องปากคือหนึ่งในกลุ่มมะเร็งในระบบศีรษะและลำคอ (Head and Neck Cancers) ซึ่งการรักษามะเร็งช่องปากอาจคล้ายกับการรักษามะเร็งชนิดอื่น ๆ ในกลุ่มเดียวกันนี้
---
อาการของมะเร็งช่องปาก
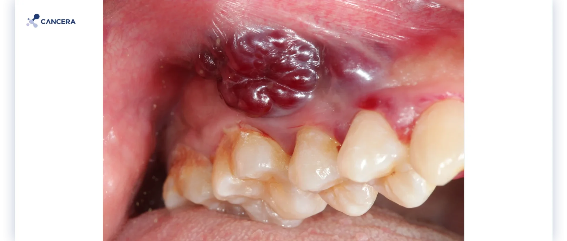
หากผู้ป่วยพบว่าในช่องปากบริเวณกระพุ้งแก้มหรือลิ้นมีปื้นสีขาวหรือแดงปรากฏขึ้นเป็นรอยอยู่นาน อาจเป็นสัญญาณบ่งบอกถึงระยะเริ่มต้นของโรคมะเร็งช่องปาก ดังนั้นหากพบอาการดังกล่าว ผู้ป่วยควรรีบตรวจหาสาเหตุของอาการ อย่างไรก็ตามอาการอื่น ๆ ที่อาจพบได้ในผู้ป่วยมะเร็งช่องปากนั้นประกอบด้วย
- ภายในช่องปากปรากฏรอยสีขาวคล้ายกำมะหยี่ แดง หรือรอยด่างสีแดงขาว
- ที่บริเวณริมฝีปาก เหงือก หรือส่วนอื่น ๆ ในช่องปาก เกิดอาการบวม มีตุ่ม ก้อนเนื้อ หรือมีแผลเกิดขึ้น
- พบว่ามีเลือดไหลในช่องปากโดยไม่ทราบสาเหตุ
- รู้สึกว่ามีบางสิ่งบางอย่างติดอยู่ภายในลำคอ
- พบว่าที่บริเวณใบหน้า ปาก หรือลำคอ มีอาการด้านชาไร้ความรู้สึก หรือมีอาการเจ็บปวดเกิดขึ้นอย่างไม่ทราบสาเหตุ มีเลือดออกง่ายในช่องปาก อาการเหล่านี้ ไม่หายภายในระยะเวลา 2 สัปดาห์
- เกิดการเปลี่ยนแปลงของตัวฟัน การสบฟัน หรือการเคี้ยว
- อาการเจ็บคอเรื้อรัง รวมทั้งเสียงเปลี่ยน และเสียงแหบ
- เจ็บที่หู
- มีปัญหาในการเคี้ยวหรือกลืนอาหาร รวมไปถึงการพูดคุยและการเคลื่อนไหวของกรามหรือลิ้น
- น้ำหนักลดมากผิดปกติ
---
สาเหตุของมะเร็งช่องปาก
มะเร็งช่องปาก เกิดขึ้นจากความผิดปกติของการพัฒนาเซลล์ในช่องปาก จนเกิดการกลายพันธ์ุ ซึ่งทั่วไปแล้ว จะเริ่มต้นจากเซลล์ปกติชนิดสะความัส (Squamous Cells) ที่พบได้มากในช่องปากและริมฝีปาก กลายมาเป็นเซลล์มะเร็งสะความัสในที่สุด (Squamous Cell Carcinomas) การกลายพันธุ์ของเซลล์จนเกิดเป็นเซลล์มะเร็งนี้จะเจริญเติบโตขึ้นเรื่อยๆ จนในที่สุดเซลล์มะเร็งในช่องปากอาจกลายสภาพเป็นเนื้อร้ายและท้ายที่สุดก็แพร่กระจายสู่ส่วนอื่น ๆ เช่น บริเวณศีรษะ หรือลำคอ
แม้ว่าการกลายพันธุ์ของเซลล์ดังกล่าวยังไม่ทราบแน่ชัดว่ามีสาเหตุเกิดขึ้นมาจากอะไร แต่พบว่ามีปัจจัยบางประการที่สามารถก่อให้เกิดความเสี่ยงต่อการเพิ่มโอกาสในการเกิดมะเร็งช่องปากได้ ดังนี้
- การสูบบุหรี่ ซิการ์ หรือไปป์ สามารถก่อให้เกิดความเสี่ยงในการเกิดเซลล์มะเร็งมากกว่าผู้ที่ไม่สูบถึง 6 เท่า
- การบริโภคยาสูบผ่านการเคี้ยว การสูดดม หรือการจุ่ม อาจก่อให้เกิดการพัฒนาเซลล์มะเร็งที่บริเวณเหงือก แก้ม หรือริมฝีปาก มากถึง 50 เท่า
- ในครอบครัวมีประวัติสมาชิกที่เคยเป็นมะเร็งมาก่อน
- การดื่มแอลกอฮอล์มากเกินควร พบว่าผู้ที่ดื่มมีโอกาสเป็นมะเร็งมากกว่าผู้ที่ไม่ดื่มแอลกอฮอล์ 6 เท่า
- การได้รับแสงอาทิตย์มากจนเกินไป โดยเฉพาะในวัยเด็ก
- โรคติดเชื้อเอชพีวี (Human Papillomavirus) เป็นเชื้อชนิดเดียวกับที่ทำให้เกิดโรคมะเร็งปากมดลูกและมะเร็งที่อวัยวะเพศชาย โดยเชื้อเอชพีวีมีด้วยกันหลากหลายชนิด สำหรับชนิดที่ก่อให้เกิดโรคมะเร็งศีรษะและลำคอมากที่สุด คือ HPV 16 ทั้งนี้ เชื้อเอชพีวี สามารถติดต่อส่งผ่านกันด้วยการสัมผัสของบาดแผลกับบริเวณที่มีเชื้อ ตลอดจนการมีเพศสัมพันธ์ทั้งทางปาก ช่องคลอด และทวารหนัก
---
การวินิจฉัยมะเร็งช่องปาก
มะเร็งช่องปากสามารถวินิจฉัยได้ด้วยกาตรวจสุขภาพจากแพทย์ รวมถึงการพูดคุยกับแพทย์ผู้เชี่ยวชาญหรือแพทย์ด้านศัลยกรรมช่องปากและใบหน้าขากรรไกร ทั้งนี้กระบวนการทดสอบอาจทำได้ด้วยวิธีการดังต่อไปนี้
การวินิจฉัยโดยการตัดชิ้นเนื้อตรวจ
การตัดชิ้นเนื้อตรวจ (Biopsy) เป็นวิธีการเก็บตัวอย่างชิ้นเนื้อเพื่อค้นหาเซลล์มะเร็งโดยการส่องกล้องจุลทรรศน์ตรวจดูสภาพของเซลล์ว่ามีการกลายพันธุ์ของเซลล์มะเร็งหรือไม่ และระบุประเภทชนิดความผิดปกติของเซลล์นั้น ๆ ด้วย สำหรับวิธีการตัดชิ้นเนื้อตรวจจะประกอบด้วย
- การตัดชิ้นเนื้อเพียงบางส่วนแบบ Incision Biopsy โดยเริ่มจากการใช้ยาชาเฉพาะที่ในบริเวณที่สามารถทำได้ง่าย เช่น ที่ลิ้นหรือส่วนอื่นของช่องปาก แพทย์จะทำการตัดชิ้นเนื้อเล็ก ๆ และคีบด้วยแหนบภายหลังจากที่ยาชาออกฤทธิ์ ในบางกรณีอาจมีการเย็บปิดแผลด้วยไหมละลาย ทั้งนี้ผู้ป่วยอาจรู้สึกปวดเล็กน้อยหลังจากการตัดชิ้นเนื้อตรวจ ส่วนการตัดชิ้นเนื้อแบบ Punch Biopsy จะเป็นการตัดชิ้นเนื้อที่เล็กกว่าและไม่ต้องใช้การเย็บปิดแผลแต่อย่างใด
- หัตถการเจาะดูดด้วยเข็มเล็ก (FNAC) มีลักษณะคล้ายกับการตรวจเลือด และมักจะใช้เมื่อพบว่ามีการบวมโตของลำคอของผู้ป่วย การเจาะตรวจชิ้นเนื้อด้วยวิธีนี้มักจะทำพร้อมกันกับการตรวจอัลตราซาวด์ที่ลำคอ แพทย์จะใช้เข็มที่มีขนาดเล็กมากดึงเอาตัวอย่างเซลล์และของเหลวออกมาจากก้อนเนื้อเพื่อตรวจหาเซลล์มะเร็ง
- การใช้กล้องส่องตรวจในโพรงจมูก (Nasendoscopy) เป็นวิธีการที่ใช้เมื่อเซลล์ต้องสงสัยอยู่ในบริเวณจมูก ลำคอ (คอหอย) หรือกล่องเสียง อาจมีการฉีดยาชาเฉพาะที่เข้าในโพรงจมูกและลำคอเพื่อลดความรู้สึกไม่สบายขณะการส่องกล้องที่ใช้เวลาราว 30 นาที โดยกล้องมีลักษณะบาง ยาว และมีไฟฉายติดเพื่อใช้ในการส่องสำรวจในรูจมูกและลำคอของผู้ป่วย ซึ่งในบางกรณีแพทย์อาจฉายภาพจากกล้องขึ้นที่หน้าจอคอมพิวเตอร์ให้ผู้ป่วยเห็นไปพร้อม ๆ กัน
- การส่องกระจกดูกล่องเสียงในคอ (Indirect LPharyngoscopy) และการใช้กล้องส่องตรวจกล่องเสียง (Laryngoscopy) โดยแพทย์อาจใช้ยาชาพ่นที่บริเวณต้องการตรวจ ก่อนจะใช้กระจกขนาดเล็กวางที่ส่วนหลังในปากผู้ป่วยเพื่อส่องตรวจโคนลิ้น ลำคอ และกล่องเสียง
- การส่องกล้องตรวจกล่องเสียงโดยตรง (Direct LPharyngoscopy) แพทย์อาจมีการพ่นยาชา ก่อนจะสอดกล้องนำแสงใยแก้วที่มีความยืดหยุ่นเข้าภายในช่องปากหรือจมูกยังบริเวณที่ไม่สามารถใช้กระจกสะท้อนดูได้ง่าย ๆ เช่น บริเวณหลังโพรงจมูกและกล่องเสียง
- การส่องกล้องแบบแพนเอนโดสโคป (Panendoscopy) มักใช้หลังจากการวางยาสลบ การส่องกล้องแบบดังกล่าวใช้ในการสำรวจบริเวณเดียวกับการส่องกล้องตรวจในโพรงจมูก และทำการส่องผ่านจมูกหรือช่องปากเพื่อตรวจบริเวณกล่องเสียง หลอดอาหาร รวมทั้งหลอดลม
การวินิจฉัยโดยการทดสอบแบบอื่น ๆ
การวินิจฉัยว่าเป็นมะเร็ง ทำได้จากการตัดชิ้นเนื้อส่งตรวจ อย่างไรก็ตาม การรักษาโรคมะเร็งนั้นจำเป็นต้องทราบว่าในกรณีของผู้ป่วยนั้นมีความรุนแรงของโรคอยู่ที่ระยะใด โดยการตรวจหาระยะมะเร็งสามารถทำได้จากการตรวจดูการแพร่กระจายของเนื้อเยื่อรอบบริเวณมะเร็งแรก เช่น บริเวณผิวหนังหรือกราม รวมทั้งการตรวจดูการแพร่กระจายที่ต่อมน้ำเหลืองบริเวณลำคอด้วยเช่นกัน
นอกจากนี้ ผู้ป่วยควรสแกนตรวจทั้งร่างกายเพื่อตรวจหาว่าเซลล์มะเร็งได้แพร่กระจายไปยังอวัยวะอื่นๆ อีกหรือไม่ แม้ว่าอาจเป็นไปได้ยากที่จะกระจายไปส่วนอื่นที่ไม่ใช่บริเวณใกล้เคียง ทั้งนี้การตรวจหาระยะมะเร็งก็เพื่อการวางแผนรักษาในลำดับต่อไป โดยการทดสอบอาจประกอบด้วย
- การทำอัลตราซาวด์
- การทำเอกซเรย์
- การตรวจด้วยคลื่นแม่เหล็กไฟฟ้า (MRI Scan)
- การตรวจเอกซเรย์คอมพิวเตอร์ (CT Scan)
- การทำเพทสแกน (PET Scan) เป็นการตรวจโดยการถ่ายภาพความเปลี่ยนแปลงทางชีวเคมีของร่างกาย โดยใช้สารกัมมันตรังสีในปริมาณที่ปลอดภัย
---
การรักษามะเร็งช่องปาก
การรักษามะเร็งช่องปากขึ้นอยู่กับปัจจัยที่หลากหลาย ไม่ว่าจะเป็นเรื่องภาพรวมสุขภาพ ระยะของโรค หรือบริเวณที่เกิดโรคของผู้ป่วย ซึ่งการให้คำแนะนำเกี่ยวกับการรักษาโดยแพทย์อาจมีการผสมผสานวิธีการรักษาที่หลากหลาย อาทิ การผ่าตัด การทำเคมีบำบัด รังสีรักษา ซึ่งผู้ป่วยและแพทย์ควรปรึกษากัน เพื่อวางแผนการรักษา
การรักษาด้วยรังสีรักษาอาจทำให้ฟันติดเชื้อได้ง่ายมากขึ้น ดังนั้นการตรวจสุขภาพฟันก่อนการรักษาด้วยรังสีจึงเป็นสิ่งที่สำคัญ นอกจากนี้ การสูบบุหรี่หรือดื่มแอลกอฮอล์อาจลดประสิทธิภาพการรักษา ดังนั้นผู้ป่วยควรหยุดการสูบบุหรี่รวมทั้งการดื่มเครื่องดื่มแอลกอฮอล์เพื่อการรักษาอย่างมีประสิทธิภาพ ทั้งนี้การรักษามะเร็งช่องปากอาจประกอบด้วย
การผ่าตัด (Surgery)
วิธีการรักษาโดยการผ่าตัด มีความเสี่ยงก่อให้เกิดการติดเชื้อหรือภาวะเลือดออก นอกจากนั้นการผ่าตัดอาจส่งผลต่อรูปลักษณ์ หน้าตา รวมถึงความสามารถในการกิน ดื่ม หรือพูดคุยของผู้ป่วยโรคมะเร็งช่องปาก
ดังนั้นผู้ป่วยที่ใช้วิธีการผ่าตัดจึงมักต้องได้รับคำแนะนำจากแพทย์ โดยอาจมีการต่อท่อให้อาหารทางจมูกในระยะสั้นเพื่อช่วยให้ผู้ป่วยสามารถบริโภคอาหาร เครื่องดื่ม รวมถึงยา ส่วนการใส่ท่อให้อาหารจะเป็นการต่อทะลุผ่านผิวหนังเข้าสู่กระเพาะอาหาร ทั้งนี้การผ่าตัดสามารถแบ่งออกเป็น
- การผ่าตัดเอาก้อนเนื้อร้ายออก คือการผ่าตัดเอาก้อนเนื้อและบริเวณเซลล์เนื้อเยื่อโดยรอบออก เพื่อให้แน่ใจว่าไม่มีเซลล์มะเร็งหลงเหลืออยู่ ซึ่งกระบวนการผ่าตัดก็จะแตกต่างกันไปตามแต่ปัจจัยที่เกี่ยวข้อง ไม่ว่าจะเป็นขนาดหรือบริเวณที่พบก้อนเนื้อ
- การผ่าตัดเอาก้อนเนื้อร้ายออกร่วมกับต่อมน้ำเหลืองที่คอ หากพบว่าโอกาสสูงที่เซลล์มะเร็งแพร่กระจายไปสู่ต่อมน้ำเหลืองในลำคอ แพทย์จะพิจารณาผ่าตัดเอาต่อมน้ำเหลืองบริเวณคอออกไปด้วย ซึ่งไม่ส่งผลต่อการทำงานของร่างกายการ
- ผ่าตัดเพื่อซ่อมแซมตกแต่งช่องปาก ไม่ว่าจะด้วยการทำฟันเทียม การปลูกผิวหนัง กล้ามเนื้อ หรือกระดูกที่เกิดการเปลี่ยนแปลงหลังจากที่ผ่าเอาเซลล์มะเร็งออกจากช่องปากแล้ว แพทย์อาจให้คำแนะนำในการผ่าตัดสร้างช่องปากขึ้นใหม่เพื่อเป็นการฟื้นฟูความสามารถในการใช้ชีวิตประจำวันของผู้ป่วย นั่นคือความสามารถในการพูดคุยหรือการบริโภคอาหารต่าง ๆ
รังสีรักษา (Radiation Therapy)
การฉายแสงหรือรังสีรักษา อาจใช้เป็นการรักษาเพียงแค่วิธีเดียวในผู้ป่วยมะเร็งระยะเริ่มต้น ใช้ตามหลังการผ่าตัด หรือใช้พร้อมกันกับการทำเคมีบำบัดเพื่อเพิ่มประสิทธิภาพการรักษา ทั้งนี้การใช้รังสีในการทำลายเซลล์มะเร็งมักจะทำทุก ๆ วันสำหรับ 1 คอร์สการฉายรังสีซึ่งกินระยะเวลา 6 สัปดาห์ แต่ก็ขึ้นอยู่กับปัจจัยทางอาการอื่น ๆ ด้วย เช่น ขนาด หรือลักษณะการแพร่กระจายของเซลล์มะเร็งว่ามากน้อยแค่ไหน
การฉายรังสีอาจทำลายเซลล์ปกติไปพร้อมๆ กันกับเซลล์มะเร็ง และยังมีผลข้างเคียงที่เกิดจากการใช้รังสีรักษา ได้แก่ ผิวหนังเปลี่ยนเป็นสีแดงคล้ายกับถูกแดดเผาและรู้สึกเจ็บปวดร่วมด้วย ผู้ป่วยอาจมีแผลเปื่อยขึ้นที่บริเวณช่องปาก เจ็บปาก และเจ็บคอ สูญเสียหรือเกิดการเปลี่ยนแปลงในการรับรส อาการปากแห้ง ไม่รู้สึกอยากอาหาร เหนื่อยล้าอ่อนเพลีย มีกลิ่นปาก กระดูกโผล่ และกรามแข็ง
ทั้งนี้ผลข้างเคียงจากการใช้รังสีรักษาอาจดีขึ้นภายหลังจากการรักษาเสร็จสิ้น
การทำเคมีบำบัด (Chemotherapy)
เคมีบำบัดเป็นการใช้ยารักษามะเร็ง โดยจะไปทำลายและหยุดยั้งกระบวนการเติบโตของเซลล์มะเร็งในระดับพันธุกรรม ทั้งนี้การรักษาด้วยการทำเคมีบำบัดสามารถทำร่วมกับรังสีรักษาได้ในบางกรณีที่เซลล์มะเร็งแพร่กระจายมาก หรือมีโอกาสกลับเป็นมะเร็งซ้ำสำหรับผู้ป่วยบางราย อย่างไรก็ดี การใช้ยาในการทำเคมีบำบัดอาจไปทำลายเซลล์ปกติในร่างกายด้วยเช่นกัน
ทั้งนี้การรักษาด้วยวิธีเคมีบำบัดมักมีผลข้างเคียงที่อาจส่งผลให้เห็นได้ ไม่ว่าจะเป็นความรู้สึกไม่สบายเนื้อตัว อาการเหนื่อยล้าอ่อนเพลีย ผมร่วง เจ็บปวดบริเวณปาก แผลเปื่อยที่ปาก ปัญหาเกี่ยวกับไต ปัญหาทางการได้ยินและการทรงตัว รวมทั้งความรู้สึกชาหรือเจ็บปวดบริเวณมือและเท้า นอกจากนี้การทำเคมีบำบัดอาจลดประสิทธิภาพของระบบภูมิคุ้มกันของผู้ป่วยลงด้วยเช่นกัน
การให้ยาเจาะจงเซลล์มะเร็ง (Targeted Drugs Therapy)
การใช้ยาซีทูซิแมบ (Cetuximab) ซึ่งปัจจุบันสามารถใช้ในการรักษากลุ่มมะเร็งในระบบศีรษะและลำคอ โดยยาดังกล่าวจะทำหน้าที่เข้าไปหยุดยั้งการทำงานของโปรตีนที่พบได้ในเซลล์ปกติแต่พบมากในเซลล์มะเร็ง การรักษาด้วยวิธีนี้ยังสามารถทำควบคู่ไปกับการทำเคมีบำบัดหรือรังสีรักษา
---
ภาวะแทรกซ้อนของมะเร็งช่องปาก
มะเร็งช่องปากและกระบวนการรักษาโรคสามารถก่อให้เกิดภาวะแทรกซ้อนได้แล้วแต่กรณี ซึ่งภาวะแทรกซ้อนเหล่านี้ในบางครั้งอาจก่อให้เกิดผลกระทบต่อจิตใจในการชีวิตประจำวันของผู้ป่วย โดยภาวะแทรกซ้อนอาจรวมไปถึง
- อาการกลืนลำบาก (Dysphagia) โดยนักบำบัดด้านการพูดอาจใช้วิธีตรวจวิดีโอฟลูออโรสโคป (Videofluoroscopy) เป็นการประเมินผู้ป่วยที่มีภาวะกลืนลำบาก ทดสอบโดยการให้ผู้ป่วยกลืนอาหารหรือน้ำที่มีส่วนผสมของสีซึ่งสามารถแสดงให้เห็นผ่านการเอกซเรย์ ว่าการกลืนของผู้ป่วยเป็นเช่นไร ทั้งนี้หากพบว่าการกลืนมีปัญหา ผู้ป่วยอาจต้องต่อสายสวนกระเพาะอาหารระยะสั้นเพื่อช่วยให้บริโภคอาหารได้ง่ายขึ้น ลดความเสี่ยงการสำลักลงปอด นอกจากนี้นักบำบัดอาจแนะนำวิธีการอื่น ๆ ที่ทำให้อาการดีขึ้น อาทิ การบริหารที่ช่วยพัฒนาการกลืนอาหาร เป็นต้น
- ปัญหาในการพูด เกิดจากการใช้รังสีรักษาและการผ่าตัด นักบำบัดด้านคำพูดจะช่วยสอนหลักการออกเสียงให้กับผู้ป่วยใหม่
- ผลกระทบทางอารมณ์ ผู้ป่วยอาจประสบปัญหาที่เป็นภาวะทางอารมณ์ในระหว่างที่กำลังเป็นโรคมะเร็งช่องปาก โดยภาวะโรลเลอร์โคสเตอร์ (Roller Coaster Effect) เป็นหนึ่งภาวะที่พบได้บ่อยครั้งสำหรับกรณีผู้ป่วยโรคมะเร็ง กล่าวคือผู้ป่วยอาจรู้สึกเสียใจหรือดีใจสลับกันบ่อยครั้ง อาจเกิดขึ้นในระหว่างกระบวนการรักษาโรค จนก่อให้เกิดภาวะซึมเศร้าตามมาได้ หากพบว่าผู้ป่วยกำลังมีภาวะซึมเศร้า ควรรีบเข้ารับคำปรึกษาจากแพทย์โดยทันที
---
การป้องกันมะเร็งช่องปาก
ปัจจุบันยังไม่ทราบถึงวิธีการป้องกันมะเร็งได้อย่างแน่ชัด แต่ผู้ป่วยสามารถลดโอกาสเสี่ยงในการเกิดมะเร็งช่องปากได้ โดยแนวทางการป้องกันอาจประกอบไปด้วยดังนี้
หากจำเป็นต้องดื่มเครื่องดื่มแอลกอฮอล์ ควรดื่มแค่พอควร เนื่องจากการดื่มแอลกอฮอล์ในปริมาณที่มากจนเกินไปอาจสร้างความระคายเคืองให้กับเซลล์ในช่องปาก ทำให้ง่ายต่อการกลายเป็นเซลล์มะเร็งในที่สุด
ลดหรือเลิกการใช้ยาสูบ การบริโภคยาสูบไม่ว่าจะโดยการสูบหรือเคี้ยว เป็นพฤติกรรมอันตรายที่อาจทำให้เซลล์ในช่องปากเกิดเป็นเซลล์มะเร็งขึ้นมาได้
- รับประทานผักผลไม้ให้หลากหลาย โดยผู้ป่วยควรเลือกผลไม้หรือผักที่อุดมด้วยวิตามินและสารต้านอนุมูลอิสระที่สามารถช่วยลดความเสี่ยงต่อการเกิดมะเร็งช่องปาก
- หมั่นเข้าพบทันตแพทย์เพื่อการตรวจสุขภาพช่องปากสม่ำเสมอ
- พยายามหลีกเลี่ยงแสงอาทิตย์ โดยเฉพาะในบริเวณริมฝีปาก ด้วยการทาครีมกันแดดสำหรับริมฝีปากหรือการสวมหมวกปีกกว้างที่สามารถบดบังแสงแดดไม่ให้กระทบกับใบหน้าโดยตรง
ที่มา : พบแพทย์ดอทคอม เว็บไซต์ www.pobpad.com


